Der gebürtige Butzbacher studierte an der Justus-Liebig-Universität in Gießen Biologie mit den Hauptfächern Zoologie und Genetik. Insbesondere die Molekulargenetik der Pilze wurde dann auch das Thema seiner Diplomarbeit. Danach folgte 1996 die Promotion an der Philipps-Universität in Marburg mit wegweisenden Arbeiten über den Paarungstyp des Basidiomyceten Schizophyllum commune.
Die weitere wissenschaftliche Karriere setzte er dann mit einem Postdoc-Aufenthalt in der Schweiz am Biozentrum der Universität Basel mit Prof. Peter Philippsen fort. Dort entstanden grundlegende, z. T. auch patentierte, Arbeiten zur Molekulargenetik und der Regulation des polaren Hyphenwachstums filamentöser Pilze.
Wieder in Deutschland wurden diese Arbeiten an der Friedrich-Schiller-Universität (FSU) in Jena als Assistent/Oberassistent in den Jahren 2000 bis 2006 fortgesetzt. Neben der Anstellung an der Universität übernahm Wendland auch die Leitung der Nachwuchsgruppe „Wachstumskontrolle pathogener Pilze“ am Leibniz-Institut für Naturstoff-Forschung und Infektionsbiologie - Hans-Knöll Institut - in Jena. In dieser Zeit entstanden zellbiologische und molekulargenetische Arbeiten über das dimorphe Wachstum des humanpathogenen Pilz Candida albicans, die durch die Teilnahme an drei DFG-Schwerpunktprojekten finanziell gefördert wurden. Im August 2004 erfolgte dann auch mit diesen Arbeiten und weiteren über das Hyphenwachstum des Ascomyceten Ashbya gossypii die Habilitation für die Fächer Mikrobiologie und Genetik. Diese Arbeiten wurden u. a. mit der Vergabe von Promotionspreisen der Leibniz-Gemeinschaft und der Biologisch-Pharmazeutische Fakultät der FSU an seine Arbeitsgruppe ausgezeichnet.
Die Arbeiten über Hefen brachten Wendland den Ruf an das renommierte Carlsberg Laboratorium nach Kopenhagen, Dänemark, ein. Hier entstanden wegweisende Arbeiten zu den Genomen von Lagerbier-Hefen. Diese wurden international bekannt mit der Veröffentlichung der Genomsequenz von Saccharomyces carlsbergensis, der ersten Reinkulturhefe für Lagerbierfermentationen, die 1883 von Emil Christian Hansen etabliert wurde (Abb. 1). Damit wurde ein wesentlicher Beitrag geschaffen, um - gestützt auf Genomdaten - Zuchtziele für neue Hefekulturen zu verfolgen.
Mit Beginn der wissenschaftlichen Arbeiten bei Carlsberg engagierte sich Wendland in zahlreichen EU-Projekten für die Ausbildung von Doktoranden; insbesondere mit dem EU-Initial Training Network „Ariadne“, das er federführend koordinierte. Auch in nationalen und internationalen Gremien leistete Wendland einen Beitrag, z. B. als Vorsitzender der Emil Christian Hansen Foundation, als dänischer Repräsentant im Finance and Policy Committee of the Yeast Research Community oder als Gutachter für DFG-Anträge.
Im September 2016 wechselte Wendland dann nach Brüssel an die Vrije Universiteit Brussel. Hier übernahm er die Leitung der Mikrobiologie und etablierte die Arbeitsgruppe „Functional Yeast Genomics“. Die enge Verbundenheit zur Fermentationsforschung setzte sich durch den erfolgreichen Antrag zur Etablierung des EU Innovative Training Networks „Aromagenesis“ fort. Damit war auch der Grundstein gelegt, der zu einem neuerlichen Wechsel, diesmal nach Geisenheim führte. Hierbei wurde er begleitet von den beiden Doktorandinnen aus diesem EU-Projekt, die nun ebenfalls ihre Arbeiten an der Hochschule Geisenheim fortsetzen.
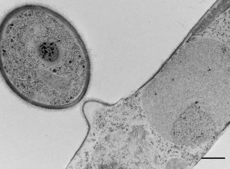
Die langjährigen internationalen Erfahrungen in Wissenschaft und Praxis sowie die Kontakte durch die Teilnahme in zahlreichen Forschungsverbünden bringt Wendland nun nach Geisenheim mit. Hier soll dann auch die rege Publikationstätigkeit in internationalen Fachzeitschriften fortgesetzt werden. Als Leiter des Instituts für Mikrobiologie und Biochemie wird er die folgenden Themengebiete zu den Schwerpunkten seiner weiteren Arbeit machen: Zum einen die Züchtung verbesserter Hefen in der Geisenheimer Hefereinzuchtstation. Damit soll die Arbeit von Dr. Julius Wortmann und seinen Nachfolgern fortgesetzt werden. Zum zweiten sollen nicht-konventionelle Hefen daraufhin untersucht werden, ob sie als Mischkulturen mit Weinhefen zur Verbesserung der Aromabildung im Wein beitragen können. Für diese Projekte wird der weitere Ausbau der Fermentations- und Aromaanaylsekapazitäten des Instituts vorangetrieben. In einem dritten Themenschwerpunkt werden „Predator Yeasts“ untersucht. Dies sind Hefen der Gattung Saccharomycopsis, die in der Lage sind, andere Pilze mittels Haustorien zu penetrieren und zu töten (Abb. 2 aus Junker et al., 2018). Die Eignung dieser Pilze - neben ihrer Verwendung in Weinfermentationen, z. B. durch Saccharomycopsis fermentans – auch als Biokontrollstämme, z. B. gegen pflanzenpathogene Pilze im Weinbau, soll in Zukunft genauer untersucht werden. Die molekularen multi-omics Untersuchungen, die gerade im angesehenen Fachjournal PLOS Pathogens erschienen sind (Abb. 3 aus Junker et al., 2019) liefern dazu eine Vielzahl von Ansätzen. In diesem Umfeld können sich Studierende sowohl grundlagenorientiert als auch praxisnah für ihren weiteren Werdegang qualifizieren.
Die Hochschule Geisenheim freut sich auf die künftige Zusammenarbeit und wünscht Herrn Prof. Dr. Jürgen Wendland gutes Gelingen und viel Erfolg!
Walther, A., Hesselbart, A. und Wendland, J. (2014). „Genome sequence of Saccharomyces carlsbergensis, the world’s first pure culture lager yeast”. G3 Genes Genomes, Genetics, 4:783-93.
Junker, K., Bravo Ruiz, G., Lorenz, A., Walker, L., Gow, N.A.R. und Wendland, J. (2018). „The mycoparasitic yeast Saccharomycopsis schoenii predates and kills multi-drug resistant Candida auris“. Scientific Reports, 8:14959.
Junker, K., Chailyan, A., Hesselbart, A., Forster, J. und Wendland, J. (2019). „Multi-omics characterization of the necrotrophic mycoparasite Saccharomycopsis schoenii“. PLOS Pathogens, 15: e1007692.






